Paediatric head injury: Usual and unusual imaging features - A retrospective study in a tertiary care hospital
Akhil M Kulkarni1, Vinay M2*, Shashank G H3
1Professor, 2,3Junior Residents, Department of Radiodiagnosis, SSIMS and RC/ RGUHS, INDIA.
Email: vinaydev234@gmail.com
Abstract Head injury is one of the common causes of child mortality and morbidity. Road traffic accidents and self falls are the leading causes for head injury in the paediatric population. The out-come of trauma may differ in children when compared to adults, due to differences in the anatomy and physiology. As radiologists, an understanding of the pathophysiological mechanism and imaging findings associated with these various conditions is necessary in timely diagnosis. This article helps to familiarize the radiologist and the attending neurophysician/neurosurgeon with usual and unusual imaging features of pediatric head trauma cases to assess and manage them for better outcome.
Key Word: Head trauma, fractures, hemorrhage, contusions, diffuse axonal injury, herniation, CSF leakage.
INTRODUCTION
Head injury is one of the common causes of child mortality and morbidity. Road traffic accidents and self falls are the leading causes for head injury in the paediatric population. In addition, assaults, recreational activities, and child abuse are also the causes of traumatic head injury. The out-come of trauma may differ in children when compared to adults, due to differences in the anatomy and physiology.
Fundamental differences are these,
- the paediatric skull is thinner and more pliable
- the size of the head is large relative to the body.
- the neck musculature is often less developed and the cervical ligaments and joints are more flexible when compared with adults1.
In our study, the main objective of the radiologist is to identify the signs and symptoms of Traumatic brain injury and conveying the findings to the treating emergency paediatrician/neurosurgeon to determine the type, severity of injury and to initiate appropriate treatment, in order to avoid the physical, cognitive and behavioural system disabilities that may occur due to the traumatic brain injury (TBI), as it may cause arrest in the neurological development process.
AIMS AND OBJECTIVES:
- To describe the mechanism of traumatic brain injury with radiological imaging findings in the paediatric age group (0-18 years)
- To explain consequences of undiagnosed traumatic brain lesions
- To identify radiological findings at admission to the hospital and in the follow-up period.
METHODS AND MATERIALS
The Study was carried out at SSIMS and RC, Karnataka. Study was given ethical clearance from the ethical committee of the above-mentioned institution. 200 children between 0 to 18 years, who presented to the Emergency department with history of traumatic head injury, who were evaluated by a standard imaging protocol and a standard reporting template (Annexure 1) with Non-contrast Computed Tomography (NCCT) and few sequences of Magnetic resonance imaging (MRI) wherever applicable. In those cases with low GCS and poor outcome, where MRI was required, limited sequences of MRI were performed as it is sensitive for sub-arachnoid haemorrhages and diffuse axonal injury.
Type of study: Retrospective study Head injuries can be classified as primary and secondary head injuries.
Primary brain injury: Primary brain injury is due to the initial insult, and results from displacement of the physical structures of the brain.1
Secondary brain injury: Secondary brain injury is of gradual onset and involves multiple processes at the cellular level.1 Secondary injury usually follows the primary insult or can happen independently. Deterioration of the cases after brain injury is due to the ongoing secondary injury.2
Linear skull fractures: are sharply emarginated linear defect that typically involves both the inner and outer tables of the calvaria. These are the most common fractures. They involve a break in the bone but no displacement, and generally no intervention is required. These fractures are usually the result of low-energy transfer due to blunt trauma over a wide surface area of the skull.4,5

Figure 2: A 12-year-old boy with history of road traffic accident, Axial NECT scan reveals, depressed fracture of frontal bone.
Diastatic skull fractures: (Fig 3)are fractures that widens ("diastases”) a suture or synchondrosis. It usually occurs in association with linear skull fracture that extends into the adjacent suture.in this type of fracture; the normal suture lines are widened.5

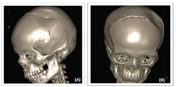
Figure 3: CT 3D reconstruction in a 15-year-old girl revealed (A) depressed fracture of left frontoparietal bone (blue arrow). (B) Coronal suture diastasis in the same patient (Red arrow)
Ping-pong skull fracture: is akin to a greenstick fracture of the long bones in children. It occurs in the first few months of life and is usually caused by a fall when the skull hits the edge of a hard blunt object, such as a table. The fracture line appears as shallow trench on the surface of skull.4,5,6

Figure 4: Axial NECT scan with bone window of a 5- month old baby was presented after falling down from bed shows ping pong fracturein left parietal bone.
Skull base fractures (Fig 5): are most serious and involve a linear break in the bone at the base of the skull.Located in temporal bone or occipital condyle. These fractures are often associated with dural tears, which lead to rhinorrhea and otorrhea.
Temporal bone fractures are divided into 3 subtypes7;
- Longitudinal,
- Transverse and
- Mixed type.
- Longitudinal temporal bone fractures(Most common type) involve the squamous part of the temporal bone, the superior wall of the external auditory canal, and the tegmen tympani. On CT, a line parallel to the long axis of the petrous bone is seen4,7.
The most common complications of longitudinal fractures are ossicular injury, tympanic membrane rupture, and hemotympanum.
- Transverse temporal bone fracture originate at the foramen magnum and extend through the cochlea and labyrinth, ending in the middle cranial fossa, is caused by trauma to the occipital or frontal regions or the cranio-cervical junction7,8. Fracture line is perpendicular to long axis of petrous bone. Sensorineural hearing loss and fascial paralysis are commonly complications of transverse fracture.
- Mixed fractures include both longitudinal and transverse fractures.

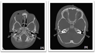
Figure5: Axial NECT scan: A 3-year old girl with history of falling down from Stairs, NCCT showing (A) right occipital bone fracture (B) hemotympanum and hemomastoid. Temporal bone fractured couldnot be shown.
- Extra-Axial Hemorrhage
- Epidural hemorrhage (EDH) (Fig 6)
- Hemorrhage occurs between the calvarium and outer layer of dura12.
- 90% of EDH are unilateral and supratentorial.
- EDH’s are usually associated with adjacent skull fracture (90-95%)
- Caused by injury of the middle meningeal artery and its branches, dural venous sinusesand veins12,13.
- On CT it appears as hyperdense(60-90HU), biconvex shaped collection in the extra-axial region ,Presence of hypodense area inside hyperdense lesion indicates active bleeding (“Swirl Sign”)11 Fig 7. Itcan cross falx and tentorium but does not cross suture lines.
- The most commonly region involved with EDH is temporal lobe in adults (temporal boneis relatively thin), whereas this situation is rare in children. Because the middle meningeal artery is closed to the inner table in adults but in children groove for middle meningeal artery has not formed yet.
- CT scanning is the examination of choice in the evaluation of suspected intracranial epidural hematoma4,12

Figure 6: Figure 7:
Figure 6: A 15-year old boy who presented after a road traffic accident, Axial NECT scan reveals, acute EDH was along the right parietal convexity.
Figure 7: A 17 year old presented after fall from bike, Axial NECT scan reveals, lens like or biconvex shaped EDH in right frontal location, heterogeneous appearance indicated active bleeding -swirl sign.
- Subdural hemorrhage (SDH) (Fig 8)
- Located between the inner layer of duramater and arachnoid mater.
- It occurs due to tearing of bridging cortical veins.
- On CT it seems as hyperdense (60-90HU), supra tentorial crescent-shaped collection in extra-axial region and itmay cross suture lines4.
- Recurrent and mixed-age SDH should increase the suspicion of child abuse.
- Chronic subdural hematoma is more common in elderly individuals because of the age-associated decrease in brain volume and the increase in venous fragility14,15
- Hyperacute SDH (± < 6 hrs); mostly hypodense (unclotted hemorrhage) on CT, iso-hypointense on T1W-image and iso- hyperintense on T2W-image.
- Acute SDH (± 6 hrs-3 days); mostly homogenously hyperdense on CT.
- Subacute SDH (± 3 days-3 weeks); iso- hypodense on CT (~35 -40 HU). Subacute SDH may have same density as underlying cortex and could be overlooked easily on CT. On T1W-image, subacute SDH seems typically hyperintense and have variable intensity, on T2W-image. After iv gadolinium contrast injection; contrast
enhancement may be seen.
- Chronic SDH (± > 3 wks); crescent-shaped and multi-septated extraaxial collection. The subdural collection becomes hypodense and can reach ~0 HU and be isodense to CSF, and mimic a subdural hygroma. Calcification in 1-2%.

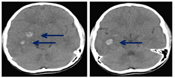
Figure 8: Axial NECT scan a) A 6 month old presented after history of fall Concavo-convex shaped sub-acute SDH in left fronto-parietal location, b) SDH along the left fronto-parietal convexity and right parietal convexity in a 1 month old male infant. c) SDH along the left high parietal convexity in a 6 month old female child.
- Subarachnoid hemorrhage (SAH) (Fig 9)
- Occurs between the arachnoid and piamater (within subarachnoid space).
- SAH appears hyperdense on CT or hyperintense on FLAIR in basal cisterns, sulci andSylvian fissure. Intraventricular hemorrhage (IVH) develops via the Foramen of
Luschka and Magendie. Typical appearance of IVH (Fig 10) is blood-CSF level in occipital horns16,17.
- Hydrocephalus, infarction due to cerebral vasospasm and cerebral herniation are the complications of SAH, so patients may rapidly progress to coma.
- Also, sulcal effacement indicated brain edema.
- Modified Fisher scale is the best known system of classifying the amount of subarachnoid haemorrhage on CT scans, and is useful in predicting the occurrence and severity of cerebral vasospasm19
- no subarachnoid haemorrhage (SAH)
- no intraventricular haemorrhage (IVH)
- incidence of symptomatic vasospasm: 0% 3
- focal or diffuse, thin SAH
- no IVH
- incidence of symptomatic vasospasm: 24%
- Grade 2
- thin focal or diffuse SAH
- IVH presen
- incidence of symptomatic vasospasm: 33%
- thick focal or diffuse SAH
- no IVH
- incidence of symptomatic vasospasm: 33%
- thick focal or diffuse SAH
- IVH present
- incidence of symptomatic vasospasm: 40%
Note: thin SAH is <1 mm thick and thick SAH is >1 mm in depth

Figure 9: In a 3 month old child with history of fall from height, Axial NECT scan reveals, SAH along the bilateral fronto-parietal lobe cortical sulci.

Figure 10: Axial NECT scan (a-b): (a-b) A 15-year old boymet with a road traffic accident. Hemorrhage in caudate nucleus (red arrow) on left sidewith breakthrough hemorrhage into the bilateral lateral ventricles (blue arrow).
- Diffuse Axonal Injury (Dai)
Diffuse axonal injury (DAI) is the Disruption of the cytoskeletal network and axonal membranes. Axonal damage occurs with axonal rotational acceleration and deceleration movementdue to traumatic effect21 DAI is also known as "shearing injury". Diffuse axonal injury typically consists of several focal white-matter lesions measuring 1-15 mm in a characteristic distribution. 6 Traumatic micro-bleeds are considered to be a radiologic marker for DAI 20,21 Location of DAI are typical, Subcortical and deep white matter are commonly affected. Cortex will be spared. DAI locates in subcortical white matter (mild form), corpus callosum (middle form) andbrainstem (severe form).21 On CT initially often normal. Subcortical white matter, corpus callosum or brain stem may show small hypodense foci which are corresponding to edema of shearing injury. Punctatehemorrhagic lesions may appear as hyperdense foci on CT. (Fig 11) MRI (Fig 12) Magnetic resonance imaging (MRI) is the preferred examination for DAI (particularly with gradient-echo sequences. T2W- image shows multifocal hyperintense lesions at characteristic locations. Especially, hemorrhagic lesions are seen as blooming in SWI sequence. Multifocal hypointense foci on SWI are seen due to susceptibility of blood products.20,21,22

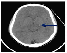
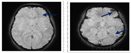
Figure 11: Axial NECT scan: A 15-year old boy was presented after a motorcycle accident showing hemorrhagic (arrow) DAI in left basal ganglia.

Figure 12: Axial SWAN MRI sequence: A 15-year old boy was presented after a motorcycle accident, shows multiple hemorrhagic foci in the left cerebral hemisphere.
- CEREBRAL CONTUSION
- Characteristic location is adjacent to bony protuberance. Anterior frontal lobe and temporal lobe are the most frequently affected regions from cerebral contusion (Fig 13).
- Generally multifocal and bilaterally, but focal contusion may also occur adjacent to depressed skull fracture24.
- CT may be normal in the early phase or patchy, ill-defined lesions may be seen ashyperdense foci. CT scan can be subtle due to Beam Hardening artefact.
- CT scan findings can be normal or minimally abnormal because the partial volumes between the dense micro-hemorrhages and the hypodense edema can render contusions iso-attenuating relative to the surrounding brain tissue23,22
- "Coup" lesion; damage occurs at site of impact. "Countercoup" lesion; damage occurs at the opposite site of impact.
- Petechial hemorrhage may coalescence and become hematomas. Herniation may occur due to mass effect of hematoma24.

Figure 13: Axial NECT scan: A 10-year old boy was presented after a road traffic Accident. Hemorrhagic contusions seen involving right lentiform nucleus, right medial temporal cortex and right capsuloganglionic region.
SECONDARY LESIONS
- diffuse cerebral edema
- Cerebral edema is mainly divided into two categories;
- Cytotoxic and
- Vasogenic edema.
- Interstial/ combined
- Due to traumatic effect the ATP dependent Na/K pumps fails and leads to increase in the water content within the cell due to osmotic gradient leading to cytotoxic edema25.
- On the other hand, vasogenic edema occurs as a resultof disruption of the blood-brain barrier, such as in intracranial hematoma secondary to head trauma, brain tumours or infection. Water moves from the vasculature to the extracellular space in response to an osmotic gradient25,26.
- Imaging findings of diffuse cerebral edema on CT; diffuse cerebral parenchymal hypoattenuation and loss of normal differentiation gray and white matter (Fig 14), effacement of sulci, perimesencephalic and suprasellar cistern, compression of ventricular system4,25,26.

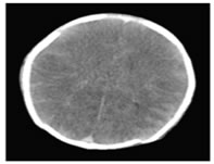
Figure 14: Axial NECT scan: A 7-year old boy who was found while hanging on Parenchymal low attenuation, effacement in sulci and loss of differentiation gray and white matter indicated to diffuse cerebral edema.
- Growing Skull Fracture
- Most growing skull fractures (GSFs) are located in the calvarium, but rare sites are the basiocciput and the orbital roof9.
- The lesion arises from a skull fracture with an associated dural tear and repeated pulsations of CSF. Eventually, the calvarial margin adjacent to fracture expands9,10.
- We can also use the term "leptomeningeal cyst/ cranio-cerebral erosion” for this condition9.
- Growing Skull Fracture
- Most growing skull fractures (GSFs) are located in the calvarium, but rare sites are the basiocciput and the orbital roof9.
- The lesion arises from a skull fracture with an associated dural tear and repeated pulsations of CSF. Eventually, the calvarial margin adjacent to fracture expands9,10.
- We can also use the term "leptomeningeal cyst/ cranio-cerebral erosion” for this condition9.
- Csf Leakage And Herniation

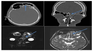
Figure 15: 18 year old male with history of CSF rhinorrhea, frontal neuroparenchymal herniation into the frontal sinus through the post-traumatic defect in the frontal bone.
RESULTS
Table 1: Distribution of the cases based on the age
Age |
Number |
Percentage |
Less than or equal to 10 years |
30 |
15 % |
10 – 18 years |
170 |
85 % |
Total |
200 |
|
Table 2: Distribution of study participants according to gender
Gender |
Number |
Percentage |
Males |
136 |
68 % |
Females |
64 |
22 % |
Total |
200 |
|
Table 3: Distribution of the case based on etiology
Cause |
Number |
Percentage |
RTA |
128 |
64% |
Self fall |
58 |
29% |
Miscellaneous |
14 |
7% |
Table 4: Distribution based on the head injury with or without trauma to the other parts of the body
Type |
Number |
Percentage |
Head Injury |
166 |
83 % |
Head injury with injury to the other parts of the body |
34 |
17 % |
Total |
200 |
|
Table 5: Distribution based on the clinical symptoms along with pain abdomen
Findings |
Number |
Percentage |
ECH |
16 |
8% |
ICH |
20 |
10% |
ECH/ICH |
32 |
16% |
ECH with fractures |
36 |
18% |
ICH with fractures |
29 |
14.5% |
ECH+ICH with fractures |
20 |
10% |
Only fractures |
47 |
23.5% |
Table 6: Distribution based on the Glasgow Coma Scale (GCS)
GCS score |
Number |
Percentage |
Low (<8) |
58 |
29% |
Moderate(9-13) |
54 |
27% |
Severe (>13) |
88 |
44% |
Table 7: Distribution of cases based on the management
Management |
Number |
Percentage |
Conservative |
134 |
67% |
Surgery |
66 |
33% |
Total |
200 |
|
Table 8: Distribution of cases based on the outcome
Modality |
Number |
Percentage |
Improved |
177 |
88.5% |
Death |
23 |
11.5% |
CONCLUSION
Traumatic brain injury is an emergency poses a challenge to the attending clinician. Non-contrast computed tomography is the screening/ initial modality of choice. However, Magnetic resonance imaging is needed to rule out diffuse axonal injury and may be used to problem solve in certain cases. Traumatic brain injury is common in paediatric age groups age groups. Management of traumatic brain injury are frequently guided by imaging findings. Early diagnosis and intervention is essential. NCCT is usually the screening modality and initial investigation of choice; however, limited sequences are necessary to Magnetic resonance imaging (wherever applicable) helps in identifying the SAH as it is more sensitive than NCCT and also to rule out diffuse axonal injury. MRI helps to rule out secondary insults. Our study results have shown that in pediatric age group patients with head trauma, in time imaging helps to familiarize the radiologist and the attending neurophysician/neurosurgeon with usual and unusual imaging features to assess and manage them for better outcome. NCCT imaging is the modality of choice for the evaluation of patients with traumatic head injuries in our hospital. MR imaging was considered in the diagnostic work-up of patients with low GCS, as it is sensitive for sub-arachnoid haemorrhages and diffuse axonal injury. Routine use of CT, with the option of complementary MRI, performed in patients with low GCS, significantly aids the treating neurosurgeon for the appropriate management, in respect with the clinical diagnosis alone.
REFERENCES
- Scalea TM. Does it matter how head injured patients are resuscitated. Neurotrauma: evidence-based answers to common questions. Edited by AB Valadka and BT Andrews. Thieme, New York, NY. 2005:3-4.
- Silver JM, McAllister TW, Yudofsky SC. Textbook of traumatic brain injury. American Psychiatric Pub; 2011 Feb 24.
- GranacherJr RP. Traumatic brain injury: Methods for clinical and forensic neuropsychiatric assessment. CRC Press; 2007 Dec 20.
- Osborn’s Brain, Imaging, Pathology and anatomy – 2nd edition
- Turgut M. Serefeddin Sabuncuoglu (1385-1468) on pediatric skull fractures. Historical vignette. Pediatr Neurosurg. 2008. 44(4):264-8.
- Baugnon KL et al: Skull fractures and their complications. Neuroimaging Clin N Am. 24(3): 439-65, vii-viii,2014
- Ishman SL, Friedland DR. Temporal bone fractures: traditional classification and clinical relevance. Laryngoscope. 2004 Oct. 114(10):1734-41.
- Wennmo C, Spandow O. Fractures of the temporal bone--chain in congruencies. Am J Otolaryngol. 1993 Jan-Feb. 14(1):38-42.
- Des champs GT Jr, Blumenthal BI. Radiologic seminar CCXLIX: Growing skull fractures of childhood. J Miss state Med Assoc 1988; 29:16-17.
- Ramamurthi B, Kalanaraman S. Rationale for surgery in growing fractures of skull. J. Neurosurg 1970; 32:427-430.
- Al-Nakshabandi NA. The swirl sign. Radiology. 2001 Feb. 218(2):433.
- Arrese I, Lobato RD, Gomez PA, Nunez AP. Hyperacute epidural haematoma isodense with the brain on computed tomography. Acta Neurochir (Wien). 146(2):193-194.
- Rocchi G, Caroli E, Raco A, Salvati M, Delfini R. Traumatic epidural hematoma in children. J Child Neurol. 2005 Jul. 20(7):569-72.
- Gennarelli TA, Thibault LE. Biomechanics of acute subdural hematoma. J Trauma. 1982 Aug. 22(8):680-6.
- Atkinson JL, Lane JI, Aksamit AJ. MRI depiction of chronic intradural (subdural) hematoma in evolution.
- Park YS, Suk JS, Kwon JT. Repeated rupture of a middle meningeal artery aneurysm in moyamoya disease. J Neurosurg. 2009 Dec 11. [
- Becker H. Consequences of a Nonrecognized Subarachnoid Hemorrhage. Klin Neuroradiol. 2009 Nov 20.
- Suarez JI, Tarr RW, Selman WR. Aneurysmal subarachnoid hemorrhage. N Engl J Med. 2006 Jan 26. 354(4):387-96.
- Fisher CM, Kistler JP, Davis JM. Relation of cerebral vasospasm to subarachnoid hemorrhage visualized by computerized tomographic scanning. Neurosurgery. 6 (1): 1-9.
- Kinoshita T, Moritani T, Hiwatashi A, et al. Conspicuity of diffuse axonal injury lesions on diffusion-weighted MR imaging. Eur J Radiol. 2005 Oct. 56(1):5-11.
- Liu J, Kou Z, Tian Y. Diffuse axonal injury after traumatic cerebral microbleeds: an evaluation of imaging techniques. Neural Regen Res. 2014 Jun 15. 9 (12):1222-30.
- Schrader H, Mickeviciene D, Gleizniene R, et al. Magnetic resonance imaging after most common form of concussion. BMC Med Imaging. 2009 Jun 17. 9:11.
- 17.Rosa M Jr, da Rocha AJ, Maia AC Jr, Saade N, Veiga JC, Romero JM. Contusion Contrast Extravasation Depicted on Multidetector Computed Tomography Angiography Predicts Growth and Mortality in Traumatic Brain Contusion. J Neurotrauma. 2015 Oct 8.
- 18.Hayashida Y, Kakeda S, Hiai Y, Ide S, Ogasawara A, Ooki H, et al. Diagnosis of intracranial hemorrhagic lesions: comparison between 3D-SWAN (3D T2*-weighted imaging with multi-echo acquisition) and 2D-T2*-weighted imaging. Acta Radiol. 2014 Mar. 55 (2):201-7.
- Marmarou A. A review of progress in understanding the pathophysiology and treatment of brain edema. Neurosurg Focus 2007; 22:E1
- Latchaw RE, Alberts MJ, Lev MH, et al. Recommendations for imaging of acute ischemic stroke: a scientific statement from the American Heart Association. Stroke 2009; 40:3646–3378.